Trong khuôn khổ chương trình, đội ngũ bác sĩ Nha khoa DHG đã trực tiếp thăm khám răng miệng tổng quát cho học sinh, tư vấn...


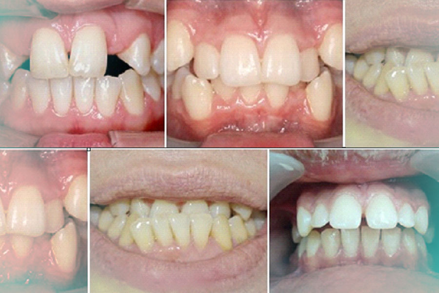
Niềng răng mặt trong được đông đảo khách hàng tin tưởng lựa chọn và giới chuyên gia khuyên dùng bởi những lợi ích vượt trội về mọi mặt từ hiệu quả, an toàn đến tính thẩm mỹ, đồng thời khắc phục hoàn hảo nhiều nhược điểm của các phương pháp chỉnh nha trước đây.





Theo các bác sĩ Nha Khoa DHG, niềng răng mặt trong rất thích hợp cho những ai đang gặp phải những khiếm khuyết như: